Universal Advanced Dental Hospital అవిర్భవించిన సంధర్భంగా Free OP మరియు Free x-Ray తీయబడును.       •       Call Now: 95810 20500       •       Universal Advanced Dental Hospital అవిర్భవించిన సంధర్భంగా Free OP మరియు Free x-Ray తీయబడును.
Universal Dental Hospital Clinic Interior
Now Open in Vijayawada

Precision Care.
Perfect Smile.

Experience world-class dentistry with a human touch. Our government hospital specialists utilize advanced technology to deliver painless, lasting results.

15+

Years Exp

5k+

Smiles

24/7

Support

Dental Suite at Universal Hospital
Modern Suite
Advanced Dental Equipment
Hospital Reception Area
Modern Dental Chair Dental Equipment and Tools
Universal Advanced Dental

Advanced Care,
Human Touch

We combine state-of-the-art technology with a patient-first approach to deliver exceptional results.

Specialists from Government Hospitals
Advanced Painless Procedures
Treatments

Our Core Specialties

Comprehensive dental solutions customized for your unique needs.

Visual Guide & Patient Awareness

Understanding your treatment through visuals.

Dental Implants Visual Guide

Advanced Dental Implants

సహజమైన దంతాల వలె గట్టిగా ఉండే ఇంప్లాంట్స్ ద్వారా మీ చిరునవ్వును తిరిగి పొందండి.

Learn More
Transparent Braces and Invisalign

Transparent Braces

ఎవరికీ కనిపించని పద్ధతిలో వంకర పళ్ళను సరిచేసే అత్యాధునిక విధానం.

View Details
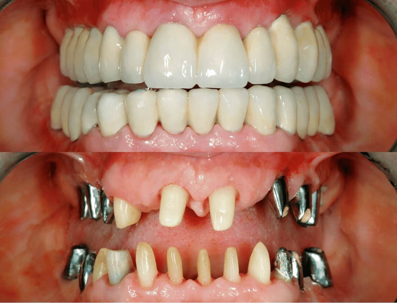
Full Mouth Rehabilitation Result

Full Mouth Rehabilitation

పూర్తిగా దెబ్బతిన్న దంతాలను మళ్ళీ కొత్తగా మార్చే ప్రక్రియ. Full Mouth Reconstruction ద్వారా ముఖ సౌందర్యం మరియు ఆరోగ్యం.

See Transformation

Meet Our Specialists

Expert care from Government Hospital Doctors.

Dr. A. Suresh - Implantologist

Dr. A. Suresh

MDS - Periodontist - Implantologist

Govt Hospital

Specialist in Dental Implants, Advanced Surgery, and Full Mouth Rehabilitation.

Dr. B. Akhila - Cosmetic Surgeon

Dr. B. Akhila

MIDA - Cosmetic Dental Surgeon

Govt Hospital

Expert in Cosmetic Dentistry, Transparent Braces, and Smile Designing.

Dr. Arigapudi Sri Bhavani

Dr. Arigapudi Sri Bhavani

BDS - MIDS

Specialist in Microscopic Root Canal Treatments and Advanced Restorative Dentistry.

Visit Our Clinic

Conveniently located in Vijayawada.

Clinic Board

Ready to Smile?

Book your appointment today.

Call 95810 20500
Dental Services Background

Departments

మా హాస్పిటల్ నందు లభించు దంత వైద్య సేవలు

Service Detail

Title

Treatment Overview

వివరాలు

Description goes here...

ప్రత్యేకతలు

Treatment Detail View

Contact Us

Book your visit or reach out for inquiries.

Book Your Visit

Fill in your details below.

Contact Info

Visit Us

Opp Sonovision Koneru Street,
Patamata, Vijayawada.

Hours

Mon - Sat: 10:00 AM - 9:00 PM

Sunday by Appointment

Chat with us